
Straighten your teeth discreetly with clear aligners.
Clear, removable aligners that give you the smile you want without the look of traditional braces.
Clear Aligners
Modern orthodontics for the modern lifestyle.
Clear aligners use a series of custom-made, transparent trays to gradually straighten your teeth. Unlike traditional braces, clear aligners are virtually invisible, removable for eating and cleaning, and designed for comfort. Using advanced 3D imaging technology, we can show you exactly how your teeth will move throughout treatment.

Why Choose Clear Aligners?
Clear aligners offer all the benefits of traditional orthodontics with added convenience and aesthetics.
The Clear Aligner Process
A straightforward process from consultation to final results, typically taking 6-18 months.
Initial Consultation
1 hour
Comprehensive examination and treatment planning
Digital scan, photos, and discussion of goals

3D Treatment Plan
1-2 weeks
Custom treatment plan created with ClinCheck® software
Virtual simulation of tooth movement throughout treatment

Aligner Delivery
30 minutes
Receive your custom aligners and begin treatment
Fitting, instructions, and first set of aligners

Progress Monitoring
15-30 minutes
Regular check-ups every 4-6 weeks
Monitor progress and provide new aligner sets

Refinement (if needed)
Varies
Fine-tuning for optimal results
Additional aligners to perfect the final result

Retention
Ongoing
Maintain your new smile with retainers
Wear retainers to prevent teeth from shifting back

Caring for your clear aligners.
Proper care of your aligners ensures effective treatment and maintains oral hygiene. Follow these guidelines for the best results.

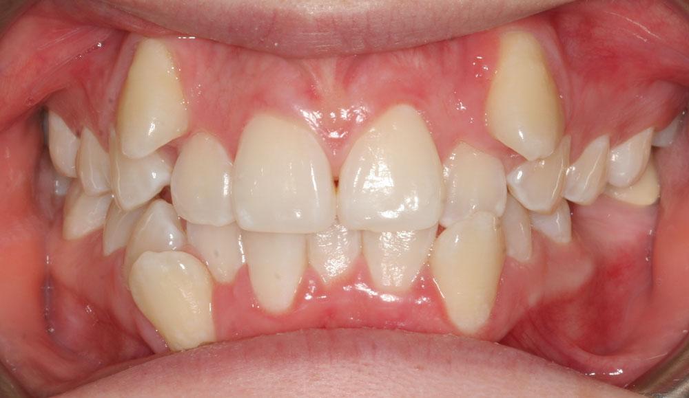
See the Transformation
Clear aligners can correct crowding, spacing, and bite issues for a beautiful, confident smile.

Crowded or misaligned teeth

Straight, beautiful smile
Clear Aligner Success Rates
Patient Satisfaction
Patients report high satisfaction with comfort and aesthetics
Treatment Success
Most cases achieve predicted results with proper wear
Daily Wear
Optimal wear time for best results
Ready for straighter teeth without braces?
Schedule your consultation to see if clear aligners are right for you. We'll create a personalized treatment plan.
Start Clear Aligner Journey