Real Results from Real Patients
See the transformative power of modern dentistry at Lux Dentistry.
Before & After
See the dramatic difference our treatments can make.
Porcelain Veneers
Before

After
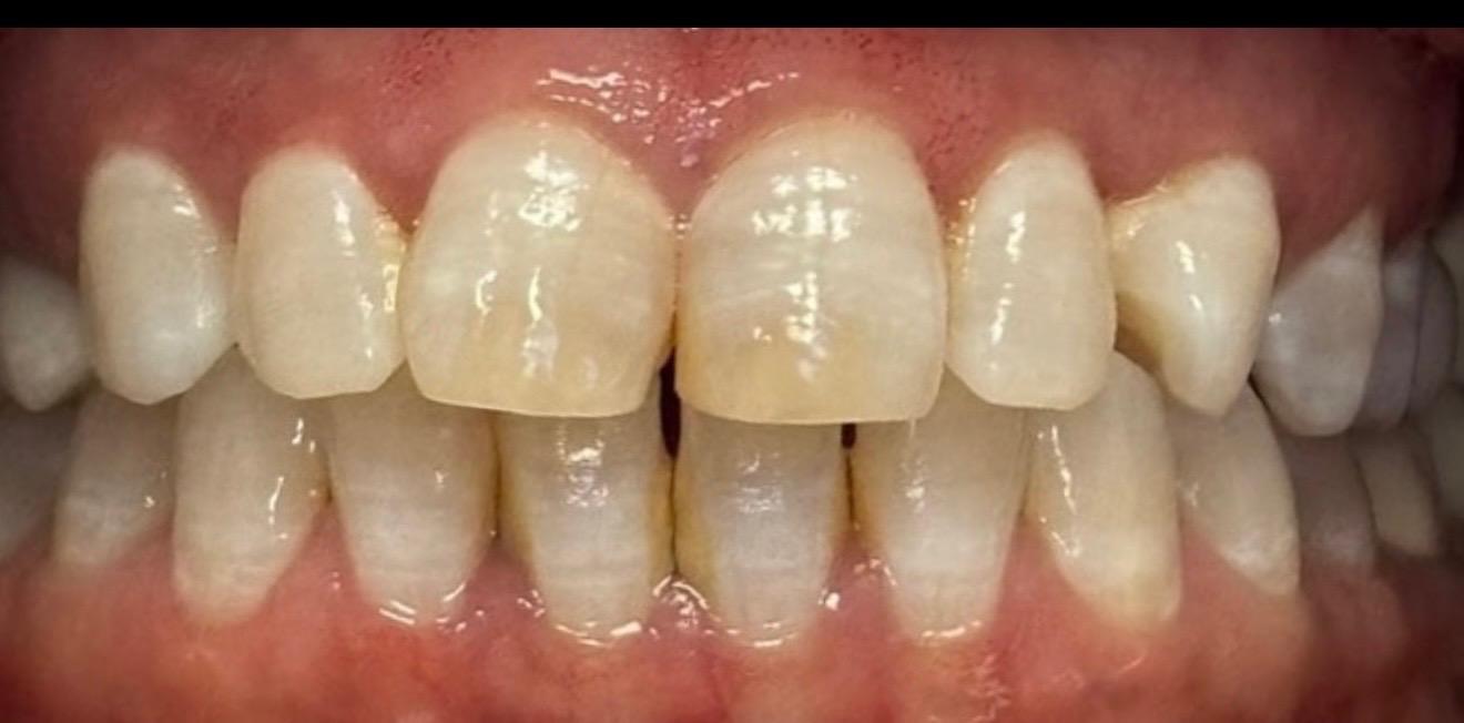
Full Mouth Crowns
Before

After

Smile Transformation
Before

After

Patient Reviews
Hear from our patients about their experiences at Lux Dentistry.
S
Sarah M.
Full Smile Makeover
⭐⭐⭐⭐⭐
“I was so self-conscious about my smile. After my porcelain veneers, I finally feel confident smiling in photos and meeting new people. The results exceeded my expectations!”
M
Michael R.
Clear Aligners
⭐⭐⭐⭐⭐
“Clear aligners were perfect for my busy lifestyle. No one knew I was straightening my teeth, and the results are amazing. I highly recommend it!”
J
Jennifer L.
Dental Crowns
⭐⭐⭐⭐⭐
“Dr. Doroudgar and her team are amazing. The crowns look so natural, and the entire process was comfortable. I'm so grateful for the excellent care I received.”
D
David K.
Dental Cleaning
⭐⭐⭐⭐⭐
“Best dental experience I've ever had. The staff is friendly, the office is beautiful, and my teeth have never looked better. Highly recommend Lux Dentistry!”
Ready for your smile transformation?
See for yourself what modern dentistry can achieve. Schedule your consultation today.
